Astrocytomas and oligodendrogliomas are significant types of malignant gliomas originating from glial cells in the central nervous system. For patients in Los Angeles seeking advanced treatment options, the Atlas Institute of Brain and Spine, led by the renowned Dr. Aaron Cohen Gadol, offers unparalleled expertise in managing these complex brain tumors. With over 7,500 complex brain surgeries performed, Dr. Cohen Gadol is internationally recognized for his extensive experience and advanced techniques, ensuring that our practice provides comprehensive solutions tailored to each individual.
Dr. Cohen gave me my life back. It’s cliché, but the truest explanation of the amazing work he and his entire team did for me. He performed a very tricky Microvascular decompression of my glossopharyngeal nerve. I have had zero symptoms since surgery!
I am convinced Dr. Cohen is the best of the best, and feel so grateful and lucky to have been and continue to be able to call him my doctor. Someone at this high of a level who remains so friendly and compassionate is not common. You cannot be in better hands than Dr. Cohen and his team. Forever grateful.
Advanced Treatments for Astrocytoma in Los Angeles
Effective treatment for astrocytomas commonly involves surgical removal, especially when the tumor is accessible. At the Atlas Institute, we prioritize maximal safe resection to reduce malignant transformation risks while preserving neurological function. Dr. Cohen Gadol’s extensive experience includes over 7,500 complex surgeries, establishing him as a leading figure in this field. Recent advancements such as Vorasidenib, approved by the FDA, highlight the evolving landscape of treatment options. Patients can benefit from advanced neuroimaging techniques, which are crucial for diagnosing and creating effective treatment plans.
Oligodendroglioma Treatment Innovations from Top Professionals
Oligodendrogliomas require a specialized approach due to their unique genetic characteristics and growth patterns. The Atlas Institute utilizes cutting-edge modalities, including intraoperative MRI and advanced neuronavigation, ensuring precise tumor localization during surgery. This innovative treatment method is particularly advantageous for residents in Los Angeles and those seeking second opinions for inoperable cases. Dr. Cohen Gadol has mentored numerous neurosurgeons and actively contributes to groundbreaking research, having developed The Neurosurgical Atlas, further enhancing our practice’s reputation as a leader in the field.


How Minimally Invasive Techniques Revolutionize Surgery
Minimally invasive techniques are transforming how we approach brain tumor surgeries. At the Atlas Institute, we employ fluorescence-guided tumor surgery and awake craniotomy techniques to minimize recovery time and maximize patient safety. These advancements not only enhance surgical outcomes but also improve the overall patient experience. With advances like intensity-modulated proton arc therapy (IMPAT), we are dedicated to staying at the forefront of surgical innovation. Located in Los Angeles, we attract patients from Beverly Hills and surrounding areas, all seeking our commitment to innovative surgical methods.
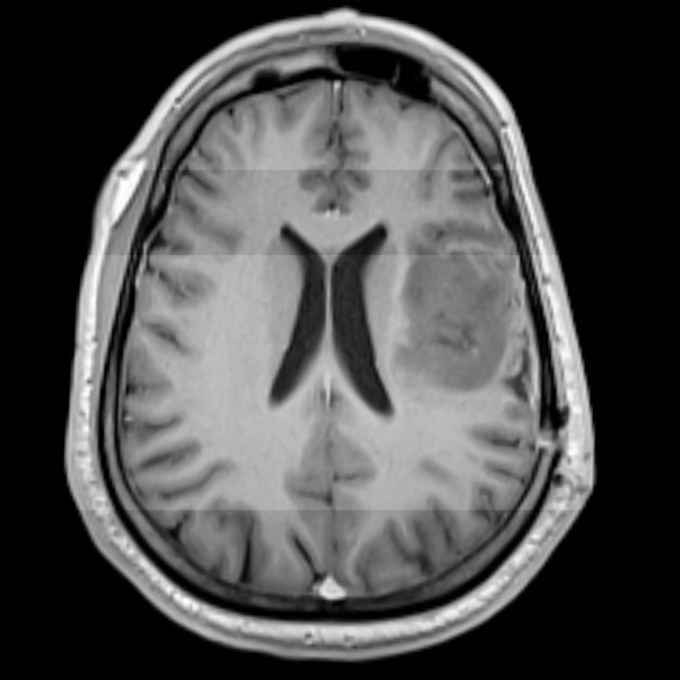
Diagnosing Brain Tumors with Advanced Neuroimaging
Accurate diagnosis is critical in managing brain tumors such as astrocytomas and oligodendrogliomas. Advanced neuroimaging techniques, including MRI and CT scans, are essential for proper staging and planning of interventions. Our practice in Los Angeles integrates these technologies into our diagnostic protocols, ensuring that we develop effective treatment strategies based on precise imaging data. Dr. Cohen Gadol’s expertise allows us to interpret these findings accurately, improving the care we deliver. His background in engineering, clinical research, and surgical innovation enhances our diagnostic and treatment planning capabilities.
Genetic Insights into Astrocytoma and Oligodendroglioma
Understanding the genetics of astrocytomas and oligodendrogliomas is pivotal in customizing treatment plans. The presence of specific genetic markers, such as the IDH mutation, can significantly influence prognosis and treatment strategies. Our practice emphasizes the importance of molecular analysis, enabling us to provide individualized care for each patient. Residents of Los Angeles and patients globally benefit from Dr. Cohen Gadol’s extensive expertise in handling complex molecular characteristics, which enhances treatment efficacy and patient outcomes.

Frequently Asked Questions about Brain Tumor Treatment
-
We treat various brain tumors including astrocytomas, oligodendrogliomas, glioblastomas, and more.
-
Minimally invasive techniques reduce recovery time and minimize complications while ensuring effective tumor resection.
-
Treatment planning involves advanced neuroimaging, molecular analysis, and a multidisciplinary approach to ensure individualized care.

Why Choose Atlas Institute for Your Brain Tumor Care
The Atlas Institute of Brain and Spine stands out as a destination for advanced brain tumor treatment. Our practice is founded on Dr. Cohen Gadol’s extensive background in neurosurgery, particularly from his time at prestigious institutions like the Mayo Clinic and Yale University. We are dedicated to compassionate care and precision, with a focus on patient outcomes.
- Founder of The Neurosurgical Atlas, the largest neurosurgical education resource worldwide.
- Over 560 peer-reviewed publications, highlighting a commitment to research and advancement in neurosurgery.
- Recipient of the Vilhelm Magnus Medal and Health Care Hero of the Year, showcasing recognition in the field.
- Our founder and president has influenced over 100,000 patient lives globally, demonstrating the far-reaching impact of our practice.
With a reputation for treating challenging cases and utilizing the latest surgical techniques, ensuring optimal care for those in Los Angeles and beyond, we invite you to consider our practice for your brain tumor needs. Schedule a consultation with our award-winning team today.
Contact UsSchedule Your Consultation with Dr. Cohen Gadol Today
For residents in Los Angeles, Beverly Hills, and the surrounding areas, the Atlas Institute of Brain and Spine offers unparalleled expertise in astrocytoma and oligodendroglioma treatment options. Schedule your consultation with Dr. Aaron Cohen Gadol today to explore the innovative approaches available for your brain tumor care. Experience the dedicated attention and advanced techniques that set our practice apart.
